
インプラント治療


歯周病とは、歯を支える歯の周囲の骨が溶けてしまい、歯がぐらぐらしてきて抜けてしまう病気です。
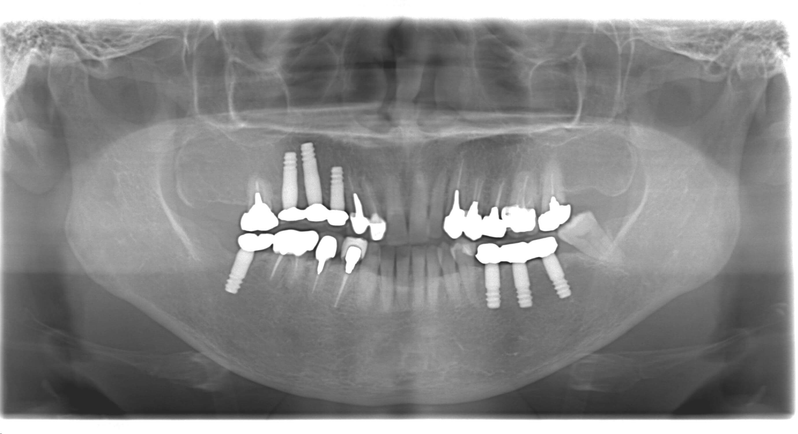
歯周病で骨が溶けて歯が抜けた場合、骨の大部分が溶けてなくなってしまっていて、インプラントを植えるための骨が無くなっているので、インプラントを入れても同じようにぐらぐらしてきて抜けてしまったり、インプラント治療自体ができない事があります。
あべ歯科クリニックのAQBインプラントは、一般的なインプラントでは難しい症例でも、HA(ハイドロキシアパタイト)のチカラにより歯周病で骨が溶けて無くなってしまった場合でも、骨を引っ張ってきて噛めるようにする可能性を高められます。
なるべく早く悩みを解決したいと言う方のためにインプラントはお勧めです。


あなたはこんな経験がありませんか?
私も20年以上前、インプラントを習得する前、ブリッジや入れ歯をお勧めしたことで、数年後、抜歯することになった経験をしています。その時の患者さんの顔は今でも忘れません。
つなげて固定するブリッジや取り外す入れ歯のような治療法は、歯に負担をかけ、歯を失わせることになるのです。
インプラントは、あなたの歯を削ったり、負担をかけることなく、失った歯を取り戻すことができます。
これがインプラントの最大の利点です。
インプラントを使うことで、残っている歯を守ることができるのです。
また、しっかりしたインプラントが増えることで、残っていた歯にかかる咬むチカラも分散してくれます。
これにより歯が欠けたり折れたりすることも軽減してくれます。
しっかり咬めるようになると、おいしいものをおいしく食べられて、人生がより充実します。
頬の筋肉も元気になり、お肌にハリもでできます。
いいことがたくさんあるインプラント!
ですから、私は自信を持って患者様にインプラントをおすすめしているのです。
お口の健康を守ること、それがからだ全体の健康を守ることにつながります。
「いつまでも健康で若々しく、充実した人生を送っていただきたい」
これが私だけでなく、歯科医みんなの願いであり、そのお手伝いをすることが私たち歯科医の使命であると考えています。
ブリッジや入れ歯に不安がある、または、失った歯をどうしようかとお悩みなら、あなた一人で悩まずにぜひ、あべ歯科クリニックにご相談ください。
当院にはトリートメントコーディネーター(TC)というスタッフがおります。
ドクターには聞きにくいことや、いろいろなお悩みをお聞かせいただき、TCからドクターにお伝えします。

通常、インプラントは早くても6ヶ月しないと噛むことができません。
AQBインプラントは、チタンの表面を再結晶化ハイドロキシアパタイトという、人の骨や歯の主成分でコーティングすることにより、早い方ですと2か月ほどで食べることができるようになります。

前歯のインプラントを入れると、通常の場合インプラントが定着するまでは入れ歯を入れたりします。外してしまうと前歯がなくなってしまいます。
AQBインプラントの場合、骨に入れる部分と土台が一体化しているため、インプラントを入れたその日に仮歯まで入るので、歯がない期間がありません。

骨の状態が悪いために他院でインプラントはできないと断られても、あべ歯科クリニックならインプラントができる可能性が高いです。(ただし全身疾患によりインプラントができない場合もございます)
AQBインプラントは、ハイドロキシアパタイトのチカラによって骨を引っ張ってくることができます。
ソケットリフトと言う鼻の穴の一部にインプラントを延長する方法や、歯を抜いて短期間でインプラントを入れる方法、下顎で神経が近い場合でもインプラントを入れられる可能性が高いです。

AQBインプラントはハイドロキシアパタイトを使っているので、骨に食い込ませる必要がありません。
そのため、痛みが出にくく、患者さんから、思ったより痛みがなかったというお声をたくさんいただいております。


無料相談では、まずトリートメントコーディネーター(TC)が患者様の悩みやご要望をお聞きし、インプラント治療についての説明、大まかな費用について説明をさせていただきます。

術前診査では、CT及びパノラマレントゲンの撮影、既往歴、健康状態、お口の状況を確認して、必要なインプラントの本数、被せ物を装着するまでのおよその期間、治療費用について治療計画を立案し、患者様に適した治療方法を提案させていただきます。

実際にインプラントを植えるためのオペを行います。
本数や骨の状態によって時間は変わるのですが、簡単なものであれば30分、難しくて複数本あるものであれば、1時間、その日に前歯の仮歯まで必要な場合は、1時間半から2時間位です。

オペを行った後は、少し期間を開けながら消毒を行います。
個人差がかなり大きく出ることが多いので、毎回骨とインプラントのつき具合を、しっかり計測した上で、すぐに食べることができるように準備をします。

型取りしたものから、かぶせ物をつくります。
調節をしてくっつけていきますが、まず仮つけして咬み具合や見た目などのチェックをして問題なければ本つけします。

インプラントがしっかり骨とくっついたらインプラントの型取りをします。
かぶせ物にも、いろいろ種類があります。ご相談ください。

インプラントは虫歯にはならないのですが、歯周病菌がくっつくと場合によっては、インプラントも歯周病になってしまうことがあります。
そのため、3ヶ月に1度くらいの割合で、インプラント周囲についた歯垢を取り除き、きれいにする必要があります。
あべ歯科クリニックでは、かぶせ物をした後、インプラント1本につき2,200円(税込)をいただいております。

インプラント後の差し歯ビフォーアフター

| 平成10年3月 | 日本大学松戸歯学部卒業 |
|---|---|
| 平成10年4月 | 日本大学松戸歯学部 歯科総合診療学講座入局 |
| 平成12年 | 医療法人和晃会 ボックスヒル歯科勤務 |
| 平成14年 | 医療法人和晃会 クローバー歯科 院長として勤務 |
| 平成19年 | 医療法人和晃会 ボックスヒル歯科院長として勤務 |
| 平成25年 | あべ歯科クリニック開院 |


インプラントとは、チタンでできた人工の歯根です。
チタンは、骨とくっつくためにしっかりと噛むことが出来ます。
当院の場合は、チタンの表面にHA(ハイドロキシアパタイト)でコーティングをしているため、インプラントと骨がくっつく期間が早いです。
状態によりますが、1~3本のインプラントで、麻酔から縫合まで60分ほどです。
高度なものでも1~2時間もあれば終わりますし、そのまま帰宅していただけます。
入院などの必要もありません。
術後、麻酔が切れてから多少痛みがでることがあります。痛み止めと抗生剤を処方します。痛みがでても2、3日で引くことがほとんどです。
患者さんからは、思ったより痛みがなかったというお声をたくさんいただいております。
特別なインプラント手術の場合は多少腫れる場合もありますが、通常のインプラント手術では、あまり腫れません。ただ個人差があり、なかには少し腫れる方もいます。
腫れても術後3日目がピークで、4日目からは引き、長くても1週間もすれば落ち着きます。
インプラントは丈夫で長持ちしますが、永久ということではありません。
治療後のメンテナンスをきちんとすれば、一生涯使うことも可能です。
長持ちさせるため、当院では3ヶ月に1回の定期健診をお勧めしています。
CTレントゲン撮影をして診断して可能な場合が、かなりあります。
直径3mmのインプラントを使用することで対応したりします。
まずはご相談ください。
金属アレルギーは主にニッケルやクロムが原因になります。その他、銀やパラジウム、水銀などで金属アレルギーを起こすこともあります。
インプラントで使う素材はチタン製です。
チタンは金属アレルギーを起こさない安全な金属です。
歯が1本なくても、歯がまったくなくても、インプラントはできます。
人間は上下で14本づつの歯をもっていますが、上アゴであれば8~10本あれば十分耐えられます。
患者様のご希望や費用をお伺いし、歯科医、トリートメントコーディネーター(TC)とご相談ください。
ありません。むしろ咬合力が分散され、周りの歯に良い影響を与えます。
また、咬合力が増すことで周辺の骨が密になり、好循環が生まれます。
インプラントは保険適用外で保険が利きません。そのため自由診療扱いになり、費用は歯科医によって異なります。
当院では、インプラント(骨や歯肉をつくらない)はかぶせ物まで含め1本約35万円です。
この費用は、歯が1本抜けて自由診療で、白い歯のブリッジにしたときと同程度の費用です。
その他に、骨や歯肉をつくる場合は別途費用がかかります。
ご不明な点は歯科医、トリートメントコーディネーター(TC)にご相談ください。
インプラントの材料はチタンでできています。
チタンは他の金属より磁性が少なく、MRIの撮影には影響がありません。
あべ歯科クリニックではインプラント保証会社ガイドデントと提携し、インプラント10年保証を行なっています。
インプラント治療費とは別に任意で、保証料金22,000円(税込)が、かかります。
一定水準以上のインプラント治療を遂行する能力を有するガイドデント認定歯科医療機関として、大切な患者さまに安心・安全の長期保証システムをご提供しています。
10年間保証限度額は変わりません。
保証経過年数に応じて、下表に定める回数以上の定期メインテナンスを当院で受診してください。
| 保証経過年数 | メインテナンス回数 (最低履行回数) |
|---|---|
| 1年目から 2年目までの2年間 | 1年間に2回以上 |
| 3年目から 10年目までの8年間 | 1年間に1回以上 |
被保証者が保証期間中に次のいずれかに該当したとき。

故意または重大な過失

ガイドデント認定歯科医療機関以外で受けたインプラント手術

インプラント体および上部構造の瑕疵を原因とした身体障害(病気または傷害)

地震・噴火・津波・火災・洪水・高潮・暴風・台風などの災害

定期メインテナンスを受診していない、または指定された回数以下の定期メインテナンスしか受診していない場合

被保証者の自殺行為、犯罪行為または闘争行為

保証部位の経年による摩耗等・摩滅・さび・腐敗・変質・変色等
